Accueil
Le cabinet
Plan d'accès
Urgences
Vidéos
Fiches Conseils
Contactez nous
Cabinet dentaire des Dr OSSWALD et MARTIN
Chirurgiens-Dentistes à THIONVILLE
Appeler
Localisation
63 Boulevard Foch, 57100 THIONVILLE
+33 3 82 53 94 40
Accueil
Le cabinet
Plan d'accès
Urgences
Vidéos
Fiches Conseils
Contactez nous
Cabinet dentaire des Dr OSSWALD et MARTIN
Chirurgiens-Dentistes à THIONVILLE
Vidéos 3D - Page 3
Maxillaire complet et traitement implantaire pour un bridge fixe scellé
EN SAVOIR PLUS
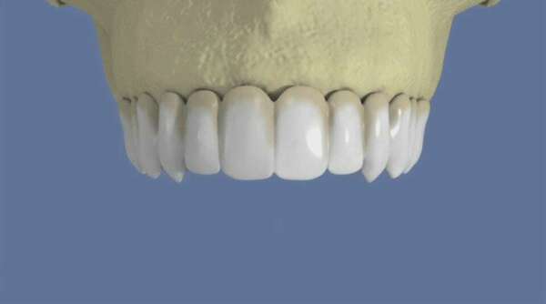
Maxillaire : bridge complet scellé sans fausse gencive
EN SAVOIR PLUS
Mandibule complète et traitement implantaire pour un bridge fixe scellé
EN SAVOIR PLUS
Maxillaire : bridge vissé sans fausse gencive
EN SAVOIR PLUS
Maxillaire all-on-6 et comblement de sinus
EN SAVOIR PLUS
Maxillaire : all-on-4
EN SAVOIR PLUS
Affichage des articles 13-18 sur 54
‹
1
2
3
4
5
6
7
8
9
›
Rechercher
Catégories
Informations pratiques
(10)
L'équipement du cabinet dentaire
(10)
L'orthodontie
(13)
Les choix esthétiques
(12)
Les dents chez l'adulte
(10)
Les dents de l’enfance à l’adolescence
(17)
Les dents et la santé
(23)
Les gencives
(24)
Les implants
(24)
Les pathologies bucco-dentaires
(29)
Les prothèses
(40)
Omnipratique
(217)
Prendre soin des dents
(10)
Cabinet dentaire des Dr OSSWALD et MARTIN
63 Boulevard Foch
57100
THIONVILLE
+33382539440
Politique de confidentialité et charte cookie
Mentions légales
Conditions Générales Utilisation
Charte déontologique
Ordre national
Annuaires chirurgiens dentistes
Hygiène & Asepsie
Honoraire & remboursement
Diaporama
Rechercher
Création par
Connexion
Vidéo en cours de lecture